Чистка зубів у El Clinic Dental: ваш шлях до ідеальної усмішки!
Професійна чистка зубів — це не лише про красу, а й про здоров’я вашої ротової порожнини. Процедура дозволяє видалити зубні камені, різні види нальоту та зменшити кількість бактерій. Регулярна чистка запобігає розвитку карієсу, захворюванням ясен й покращує естетику зубів.
Професійна гігієна ротової порожнини є важливим етапом комплексного догляду за здоров’ям вашої посмішки.
Ми пропонуємо комплексний підхід, який забезпечить свіжість і чистоту вашої усмішки.
Запишіться на професійну чистку зубів або консультацію вже сьогодні та подаруйте собі здорову, сяючу усмішку!
Професійна чистка зубів в Запоріжжі
Чому варто обрати El Clinic Dental для чистки зубів?
СУЧАСНІ ТЕХНОЛОГІЇ
Використовуємо обладнання від провідних європейських виробників, це гарантує делікатне видалення нальоту та зубного каменю.
ВИСОКОЯКІСНІ МАТЕРІАЛИ
Усе обладнання та матеріали сертифіковані відповідно до міжнародних норм і стандартів
ІНДИВІДУАЛЬНИЙ ПІДХІД
Кожному пацієнту надаються індивідуальні рекомендації щодо догляду за ротовою порожниною в домашніх умовах
ДОСТУПНІ ЦІНИ
Пропонуємо
найвигідніші умови
у Запоріжжі
Що включає професійна чистка зубів?
Професійна гігієна ротової порожнини — спрямована на видалення нальоту та збереження здоров’я зубів і ясен.
Вона включає:
- Видалення зубного нальоту ультразвуком;
- Очищення важкодоступних зон за допомогою системи AirFlow;
- Полірування емалі, що надає зубам природний блиск;
- Ремінералізація для зміцнення емалі та захисту від карієсу.
методи чистки зубів. Професійна чистка порожнини рота – обов’язковий ритуал для збереження здорової та красивої усмішки. В Нашій роботі для професійної гігієни ми використовуємо швейцарські апарати фірми EMS.
Ультразвуковий апарат із підсвіткою EMS Piezon
Один із найефективніших способів видалення зубного каменю та м’якого нальоту із зубів — це ультразвукова чистка.
Для її проведення в нашій стоматології використовується спеціальне сучасне обладнання — ультразвуковий апарат EMS Piezon (Швейцарія), який дозволяє ретельно очищати зуби навіть у важкодоступних місцях, не пошкоджуючи емаль і забезпечуючи комфорт під час процедури.
Процедура проходить швидко, безболісно та сприяє збереженню здоров’я зубів і ясен.
Піскоструменевий апарат Air-Flow
Аква-пневмокінетична обробка дозволяє ефективно видаляти немінералізовані зубні відкладення з над’ясенних поверхонь зубів, композитних реставрацій, імплантатів, у ділянці незнімних ортодонтичних конструкцій, а також очищати під’ясенні ділянки коренів зубів та імплантатів на глибину до 4 мм.
Швидко та безболісно видаляє зубний наліт, а також біоплівку з поверхні зубів.
Німецький апарат Vector від Dürr Dental
Працює на мікрорівні з ураженими тканинами.
Він ефективний для видалення під’ясенних відкладень та профілактики захворювань пародонту.
Головна перевага Вектор-терапії – апарат впливає на мікроорганізми, бактерії та їх токсини, знищуючи біоплівку, яка є джерелом запалення.
З його допомогою ретельно видаляється найдрібніший наліт, а поверхня кореня ідеально полірується, при цьому вплив на навколишні тканини є максимально щадним. Насадка ультразвукового апарату Vector дозволяє дбайливо проводити чистку уражених ділянок під яснами на глибині до 11 мм. Процедура проходить безболісно та не травмує здорові тканини.
більше цікавого у нас в instagram
Показання до професійної чистки зубів
Показання до професійної чистки зубів наступні:
- Останній візит до стоматолога більше ніж півроку тому;
- Підготовка до лікування зубів, імплантації, ортодонтичного лікування
чи протезування; - Шкідливі звички (куріння, споживання кави, чаю, солодощів);
- Біль при вживанні холодного, гарячого, солодкого чи кислого;
- Частий карієс, кровоточивість ясен, наявність каменю, брекетів, мостів
або імплантатів.
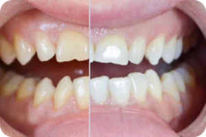
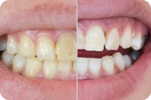
Відбілювання зубів
В EL Clinic Dental для вас доступна процедура відбілювання зубів американською системою Beyond.
Це високоефективна та повністю безпечна процедура, яка дозволяє позбутися темних плям і освітлити емаль на 5-8 тонів.
Відбілювання системою Beyond забезпечує руйнування пігменту, що накопичується в емалі, завдяки окислювальним процесам.
Ефект від процедури може тривати до 2 років.
Детальніше про процедуру розкажуть наші лікарі на консультації.
наші роботи з Відбілювання зубів


ціни на наші послуги
послуга
ціна, грн-
Консультація з фотопротоколом300
-
Консультація, діагностика, складння плану лікування, фотопротокол1500
-
Професійна гігієна першої категорії складності1200
-
Професійна гігієна другої категорії складності1400
-
Професійна гігієна третьої категорії складностівід 1500
-
Відбілювання (система Beyond USA, дві щелепи)5000
-
Первинне лікування кореневих каналів (різець,ікло)від 3000
-
Повторне лікування кореневих каналів (різець,ікло)від 3500
-
Первинне лікування кореневих каналів (премоляр)від 4000
-
Повторне лікування кореневих каналів (премоляр)від 4500
-
Первинне лікування кореневих каналів (моляр)від 5000
-
Повторне лікування кореневих каналів (моляр)від 6000
-
Достати уламок інструменту з кореневих каналіввід 1000
-
Видалення зуба першої категорії складностівід 1000
-
Видалення зуба другої категорії складностівід 1300
-
Видалення зуба третьої категорії складностівід 1500
-
Видалення зуба четвертої і пятої категорії складності (зуби мудрості)від 3000
-
Встановлення дентального імплантанту INNO, DIOвід 10000
-
Встановлення дентального імплантанту MEGAGENвід 15000
-
Встановлення дентального імплантанту STRAUMANNвід 28000
-
Закритий сінус-ліфтингвід 7000
-
Відкритий сінус-ліфтинг30000
-
Виготовлення та використання А- PRF (одна пробірка)500
-
Встановлення формувача ясен20000